「DIFF CRO」技术案例深度解析:DIFF CRO药效 评价解决方案-自主发布-资讯-生物在线

「DIFF CRO」技术案例深度解析:DIFF CRO药效 评价解决方案

作者:浙江迪福润丝生物科技股份有限公司 暂无发布时间 (访问量:22)

在病毒快速变异、研发周期紧迫的传染病领域,面对病毒变异与研发提速的双重挑战,「DIFF CRO」以“深度定制”为核心,依托灵活可配置的技术平台,为每位客户量身打造从早期筛选到体内验证的一站式解决方案,直面项目复杂与独特性挑战。以下是「DIFF CRO」部分服务案例介绍:

01 RSV体外检测:24小时精准出结果

呼吸道合胞病毒(RSV)是婴幼儿下呼吸道感染的首要病原,同时其临床株的抗原多样性为疫苗研发带来极大挑战。「DIFF CRO」针对RSV疫苗效果评价,推出基于荧光斑点计数法(FFA)的中和抗体检测服务,24小时内即可获得精准结果,远快于传统方法的3–6天

图1.RSV中和抗体检测流程图

该技术通过DIFF-GFP荧光报告病毒系统,直接识别早期感染和低水平病毒复制,无需等待细胞病变效应,显著提升检测效率与灵敏度。平台配备丰富的RSV毒株资源,更真实地模拟自然感染环境,确保疫苗评价数据的可靠性。

表1.「DIFF CRO」拥有全面广泛的RSV毒株库资源

注:*代表为临床株

平台可根据客户疫苗或药物的特定靶点,灵活匹配并快速提供最相关的临床株或工程株,确保评价模型与研发目标高度一致。对比传统方法,荧光斑点计数法在灵敏度、特异性和自动化程度方面均占优,适用于高通量样本筛查

 

RSV中和抗体检测(体外药筛)服务案例:

图2.荧光斑点计数仪的斑点计数结果

图3.受试样本中和抗体检测结果

图4.Nirsevimab对rRSV/A2-GFP1株的抑制率曲线

图5.Ziresovir对rRSV/A2-GFP1株的抑制率曲线

 

02新冠假病毒:BSL-2安全高效筛选

面对新冠病毒持续变异(如JN.1系列毒株)与BSL-3实验室的高门槛限制,「DIFF CRO」开发了VSV载体新冠假病毒技术,可在BSL-2环境下安全操作,兼具高通量筛选与活体示踪能力,大幅降低成本与风险

该技术将VSV病毒的G蛋白替换为新冠病毒刺突蛋白(S蛋白),并嵌入eGFP或荧光素酶报告基因,精准模拟病毒入侵机制。假病毒缺乏复制能力,安全性高,却能与真病毒一样在hACE2转基因小鼠中引发一致感染表型,数据可靠重复性高。

图6.「DIFF CRO」新冠假病毒构建策略与内外药效评价应用示意图

表2.VSV新冠假病毒——产品目录

“除目录产品外,平台支持根据客户指定的新兴变异株S蛋白序列,快速定制构建假病毒,帮助客户抢占新毒株研发先机。

服务案例:

图7.新冠疫苗评价-hACE2 小鼠模型体重变化及存活率(疫苗接种后)

 

图8.DIFF新冠假病毒模拟攻毒体重变化及存活率(攻毒后)

03 流感耐药株:一站式药效验证

流感病毒耐药株的涌现(如NA-H275Y、PA-I38T突变)常导致治疗方案失效。「DIFF CRO」基于定向进化+反向遗传学联合技术,其核心优势在于可根据客户遇到的临床耐药情况,或针对特定药物靶点(如PA、NA、PB1等),定向构建包含单一或组合突变的耐药株模型,用于机制研究与方案突破

 

体内药效验证采用BALB/c小鼠模型,通过体重变化、存活率、病毒载量及肺部病理切片(HE染色)等多指标综合评价。

表3.「DIFF CRO」流感毒株资源库

表4.「DIFF CRO」流感耐药株毒库

服务案例:

CPE法检测:

图9.玛巴洛沙韦对PR8的抑制率曲线

图10.Baloxavir Marboxil对PR8-NA-H274Y-PA-I38T株的抑制率曲线

 

体内攻毒保护实验:

图11.小鼠流感攻毒模型(H1N1/PR8)给药后的体重变化趋势

图12.小鼠流感攻毒模型(H1N1/PR8)给药后的小鼠存活率情况统计

 

流感荧光报告病毒活体成像:

13.H1N1-PR8在感染模型体内的动态分布情况

 

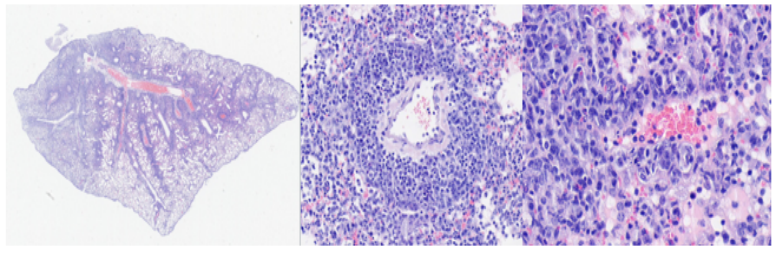
HE染色及病理检测:

图14.肺部与气管组织的HE染色及病理检测

 

肺脏病毒载量检测:

图15.H1N1-PR8攻毒模型肺脏灌洗液病毒滴度

细胞因子检测:

图16.qRT-PCR相对定量方法检测了肺组织中IL-6关键细胞因子的mRNA相对表达量

 

「DIFF CRO」以病毒学前沿技术为核心,融合定制化设计理念,在RSV、新冠、流感等复杂项目中展现出卓越的技术适应性与快速响应能力。无论是24小时出结果的RSV检测服务、BSL-2安全的假病毒模型,还是一站式耐药株平台,均致力于为客户缩短研发周期、降低风险,为突破传染病防治瓶颈提供坚实支撑。

选择「DIFF CRO」,让每一次合作都成为技术创新的加速器!

 

浙江迪福润丝生物科技股份有限公司 商家主页

地 址: 浙江省杭州市滨江区长河街道滨安路688号2幢C楼6层601室

联系人: 石经理

电 话: 0571-86071385

传 真:

Email:op@diff-biotech.com

相关咨询
ADVERTISEMENT